Ultraschall/Sonographie
Die Bildgebung mittels Ultraschall (Sonographie) ist die am meisten genutzte, bildgebende Technik in der medizinischen Diagnostik. Dabei werden Schallwellen mit Frequenzen zwischen 1 und 40MHz benutzt. Die Ultraschallsonde (Schallkopf) sendet kurze Schallwellen aus, die im untersuchten Gewebe unterschiedlich stark reflektiert werden. Die reflektierten Schallsignale werden von der Ultraschallsonde wieder empfangen und vom Ultraschallgerät in Grauwerte auf dem Monitor dargestellt. So entsteht ein Ultraschallbild der inneren, von aussen nicht sichtbaren Organe und Strukturen. Dabei sind alle soliden oder blutreichen Organe (wie zB. Leber, Gallenblase, Nieren, Schilddrüse) und viele Gelenke (wie zB. Schulter, Knie, Hände und Füsse) gut untersuchbar.
Bei Ultraschalluntersuchungen des Bauchraumes ist es von Vorteil, diese nüchtern oder nach kleinen Mahlzeiten durchzuführen. Dadurch liegen keine Überlagerungen der inneren Organe durch die Nahrung vor. Von Vorteil ist eine gut gefüllte Harnblase.
Die Patientin/der Patient liegt entspannt mit leicht angewinkelten Beinen auf dem Rücken. Für den Kontakt zwischen Schallkopf und Haut des Patienten wird ein spezielles Ultraschallgel benutzt, welches die Schallwellen besonders gut leitet. Da Leber und Nieren teilweise von den Rippen verdeckt sind, wird der Patient oft vom Arzt gebeten, tief einzuatmen und die Luft anzuhalten. So werden die Organe durch das Zwerchfell gegen unten geschoben und dadurch besser sichtbar. Nach der Untersuchung gibt der Arzt Ihnen ein Papiertuch, um das Gel abzuwischen. Sollte das Gel mit Ihrer Kleidung in Berührung gekommen sein, müssen Sie sich keine Sorgen machen: Die verwendeten Gele sind gut waschbar und hinterlassen in der Regel keine bleibenden Flecken auf der Kleidung.
Im Ultraschall der Bauchhöhle beurteilt der Arzt die Grösse, die Struktur und die Lage der Bauchorgane und Gefässe.
Mit hochauflösenden 18MHz Sonden lassen sich Gelenke, Muskeln, Sehnen und Bänder gut untersuchen.
Häufige Indikationen für Gelenkuntersuchungen mittels Ultraschall:
- Meniskusverletzungen an Knien
- Gelenkentzündung (Arthritis)
- Abnutzung der Gelenke (Arthrose)
- Schleimbeutelentzündungen (zB. an Schulter oder Hüfte)
- Ganglien (zB. kugelige Schwellung an Handgelenk oder Fuss)
- Ultraschallgesteuerte Gelenkspunktionen und Infiltrationen (z. B. kleine Fingergelenke)
- Ultraschallgesteuerte Wirbelsäuleninjektionen (z. B. Sakroiliakalgelenk)
Die small parts sind eine sehr inhomogene Gruppe von Organen oder Weiteilveränderungen. In dieser Gruppe finden sich oft Untersuchungen der Schilddrüse, der Lymphdrüsen, der weiblichen Brust, der Hoden oder der Haut/Unterhaut.
Häufige Indikationen für Ultraschalluntersuchungen der small parts:
- Schilddrüse: Knoten, Über- oder Unterfunktion.
- Lymphdrüsen: Schwellung oder Schmerzen der Drüsen.
- Weibliche Brust: Tastbefund oder Schmerzen.
- Hoden: Vergrösserung Hoden, Nebenhoden oder Schmerzen
- Haut/Unterhaut: entzündliche Schwellungen, Knötchen (Lipome).
- Leisten: Leistenbruch (Inguinalhernie)
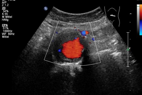
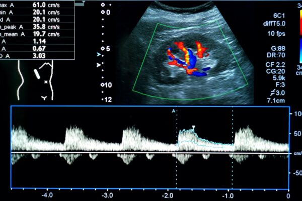
Duplex- und Dopplersonographie
Duplex- und Dopplersonographien sind spezielle Ultraschalluntersuchungen, mit denen Arterien und Venen, also Blutgefässe, beurteilt werden können. Der Schallkopf sendet Wellen in einer bestimmten Frequenz aus, die Wellen werden von den Blutkörperchen und den Gefässwänden in einer veränderten Frequenz reflektiert. Diese Veränderungen der Frequenzen hängen u.a. von der Bewegung der Blutkörperchen ab. Dadurch kann die Richtung des Blutflusses und die Fliessgeschwindigkeit des Blutes bestimmt werden. Dem Arzt ist es dadurch möglich, Einengungen (Stenosen) oder Verschlüsse von Blutgefässen zu erkennen. Die Methode ist völlig risikofrei und eignet sich zur Untersuchung sämtlicher Blutgefässe am Hals, an den Extremitäten (Arme und Beine) sowie im Bauchraum.
Anwendungsbeispiele
- Venenthrombosen an den Beinen (Venenverstopfung durch Blutgerinnsel)
- Arteriosklerose (Gefässverkalkungen durch Ablagerungen von Kalk und Fetten in den Arterien) zB bei den Halsgefässen zur Vorbeugung eines Hirninfarktes
Biopsie/Feinnadelpunktion unter sonographischer Kontrolle
Eine Gewebe- oder Zellentnahme ist je nach Körperregion unter Ultraschallkontrolle gut durchführbar. Um Gewebematerial zu gewinnen, wird eine feine Nadel nach örtlicher Betäubung in den Krankheitsherd eingeführt und Flüssigkeit oder Zellen für die mikroskopische Untersuchung gewonnen. Am Ultraschallbildschirm kann die präzise Führung der Nadel verfolgt werden. Der Stich der Betäubung oder der Stich zur Biopsie sind meistens nur wenig schmerzhaft. Die gewonnenen Zellen oder die aspirierte Flüssigkeit werden dann durch einen Facharzt der Pathologie beurteilt.
Sonographie bei Kindern
In den letzten Jahren wurde die Ultraschalluntersuchung bei Kindern das führende bildgebende Verfahren. Vom Säugling bis zum Jugendlichen können verschiedene Körperregionen schmerzlos und ohne schädliche Strahlung untersucht werden. Die häufigsten Ultraschalluntersuchungen bei Kindern und Jugendlichen betreffen den Bauchraum, hier wird nach zB. nach Ursachen für Bauchscherzen oder Harnwegsinfekten mit Fieber gesucht. Aber auch bei unklaren Schwellungen oder vergrösserten Lymphdrüsen bietet die Sonographie ein einfaches und schmerzloses Diagnosemittel. Zunehmend wird der Ultraschall auch in der Traumatologie (bei Unfällen) eingesetzt. So können Knochenbrüche mittels Sonographie diagnostiziert und der Einsatz von schädlicher Röntgenstrahlung minimiert werden.
Unsere Praxis verfügt über eine breite Erfahrung in der Sonographie von Kindern. Für die Ängste der Kleinkinder haben wir Verständnis und führen die Untersuchung mit viel Geduld durch.
Eine Schmerztherapie wird oft bei akuten oder chronischen Gelenkschmerzen (zB. Schulter-, Hüft- Hand- oder Fussschmerzen) als Therapieoption gewählt. Dabei wird versucht, das Anästhetikum oder das entzündungshemmende Medikament direkt in den Gelenkraum zu spritzen. Oftmals ist es aber schwierig, von aussen «blind» den Gelenkraum mit der Nadelspitze zu treffen. Bei einer Gelenkinfiltration unter Ultraschall wird der Gelenkraum unter sonographischer Führung punktiert. Der Arzt kann den Verlauf der Nadel im Gewebe auf dem Ultraschall Monitor live verfolgen und falls nötig korrigieren, bis die Nadelspitze optimal im Gelenkraum liegt. Mit dieser Methode können auch die kleinsten Gelenke (an Finger oder Füssen) gut infiltriert werden.
Terminanfrage
Sehr geehrte Patientinnen und Patienten, sollten sie einmal ausserhalb unserer Öffnungszeiten den Wunsch haben bei uns einen Termin auszumachen, stellt dies kein Hindernis dar. Mit unserem Online-Formular können Sie uns Ihre Daten übermitteln. Wir werden uns dann so schnell wie möglich bei Ihnen melden. Wir freuen uns schon jetzt, Ihnen den besten Service bieten zu können.






















